欢迎您访问河南问题青少年管教学校!

教育局监管 正规办学

学校教育局监管、正规办学,办学许可、
食品卫生、消防资质一应俱全,各部门
都有备案,正规做教育,家长更放心。

全封闭式 军事化管理

学校全封闭式军事化管理,老师教官
学生同吃同住,学校全年无休假,全
托教学,培养孩子纪律意识。

远程监控 家长监督教学

学校开设24小时远程视频监控系统,孩
子入学,家长手机下载远程监控APP软
件,可实时了解孩子在校情况。
小孩天天挨骂会变傻吗(小孩天天挨骂会变傻吗)
发布日期:2022-05-06 浏览次数:

1; 儿子申请了一个小号,想要逗一逗老妈,就加了老妈好友。儿子:Hi,美女,有男朋友了吗?老妈:结婚了。儿子:有孩子了吗?老妈:有,跟你一样大。儿子:那你儿子一定挺帅的吧?老妈:帅是帅,就是脑子有病。儿子:什么?老妈:你下次申请小号,能不能不要用自己的照片做头像?

 

2; 上个星期我在4s店提了一辆保时捷,闺蜜看了之后很羡慕,结果第二天就拉着我非要去学车。闺蜜的教练是个很暴躁的人,把闺蜜从头骂到尾。就在一个爬坡地段,闺蜜熄了N次火,教练劈头盖脸上去又是一顿大骂。教练吼道:你说你怎么这么笨啊,去年你忽悠我买车的智商去哪了,你说你的那种聪明劲怎么没有了。当时我就忍不住笑出了声……

 

3; 今天被公司安排和老板三百多斤的闺女一起出差。老板还特别贴心地给我俩买了软卧,正好是下铺对窗,我觉得是时候买个眼罩了。在火车上的时候,老板的千斤拿了一瓶水半天没拧开,对我说:帅哥,帮我拧开。我接过来,一下拧开,自然地喝了一口,喝完才反应过来看到妹子的眼神。我淡定地说一句,没毒,我试过的。

 

4; 在樊家村附属当老师时和老公是相差30岁的姐弟恋,如今结婚七年了,恩爱如初。最近我经常呕吐,吃不下饭,去医院检查没想到怀了三胞胎!到了半夜,我们还是激动的睡不着。于是商量着,互相拍着对方,一起入睡,就像拍宝宝睡觉那样。拍了一个小时,老公的胳膊有点不听使唤,拍得用力了点儿。我感觉到了,也开玩笑得用力拍了回去。我们谁也不让谁,最后我们躺在床上打起来了……然后就醒了!

 

5; 用老婆的支付宝花贝往游戏里面充值了20万。老婆发现后大怒,直接就把我给赶出了家门。我的肚子很饿,就去了一个面馆吃牛肉面。坐下以后,我听到旁边的两个人正在吹牛。甲说:“我家的碗非常大,我把一块肉扔进盛满水的碗里,我的儿子硬是捞了三天才把肉捞起来。”乙说:“你别吹了,那是因为你儿子不会用筷子夹吧。”甲说:“你想知道最后怎么捞起肉的吗???”乙说:“你肯定是把碗打破了。”甲说:“我找台抽水机抽了三天,才让碗见底。”

 

6; 老板娘和我出差一个星期,回来以后就怀孕了。老板怀疑是我的原因,大怒之下把我开除了。我去了一个电子厂打工,厂里的食堂饭菜很难吃。同事们不想再去食堂吃饭了,就商量好每个人带个菜来。吃了几天我发现,还是别人家的菜吃着有新鲜感。但是过了几天他们就不让我参加了,嫌弃我是单身狗,不会做菜。再说了,超市里买的袋装榨菜,怎么就不是菜了?

 

7; 暗恋公司一女同事很久了,她也知道我的心意,两个人就心照不宣,都等着对方先开口。昨天我终于鼓起勇气,问她:晚上一起去唱歌好不好。她问:几个人啊。我害羞的说:就咱们。女同事听了惊了一下,随后说:哇,你今天居然开窍了啊,那我就陪你一起去吧,但是地点我来选。随后女同事就把地点选在了我家附近的ktv,还定了一间情侣包厢,我特地买了些零食给她吃。随后两人就坐在一起聊天,可没多久,女同事聊着聊着就把头靠在我肩膀上睡着了。我心想:我好不容易才鼓起勇气约你出来,你却靠在我肩膀睡着了。想到这,我顿时就生气了,直接把女同事叫醒,让她自己回家睡去,可我不明白的是,为什么她今天都不理我了。

 

8; 自从第一次去女友家,他妈爸直接同意我们了,现在俨然已经像是一家人了,昨天下班后又跟着女朋友去他家蹭饭,进门的时候,看到丈母娘正在厨房准备晚饭,而岳父一言不发的坐在沙发上,岳父见到我来了,向我招手,让我到沙发上陪他唠嗑,聊到私房钱的时候,岳父一脸严肃的跟我说:孩子,记得结婚以后,男子汉大丈夫,错了就要认,挨批要立正,知道嘛。我连忙点头附和:知道知道。

 

9; 小外甥被我爸妈给惯坏了,小的时候小外甥不爱吃饭,我爸妈就追在他P股后面追着喂。小外甥開學前在家吃饭可懒了,总是让人督促才行,幼兒园開學后自己吃饭变得很积极,每次老师发视频都看到他大口吃饭大口吃菜。我问小外甥:“是不是幼兒园的饭菜比家里好吃??看你吃那么香呢。”小外甥想了一下很认真地反问我:“家里吃饭有外人不??”我说没有。小外甥:“我是家里的小宝贝不??”我说是。小外甥:“那不对了嘛,幼兒园那么多人,老师不可能像家里一樣只围着我转,我连吃都不积极点,等着挨骂呀,舅舅可真笨!!”

 

10; 周末休息,上幼儿园的小外甥问我要1块钱去买雪糕吃。我平时很疼他,于是就给他一张100的。然后过一会就看着他拿着两根棒棒冰,我走过去让他把剩下的钱给我看看,我怕他收到假钱。这时小外甥摆摆手说:“不用了,我爸爸拿4张1块的跟我换了。”呵呵,果然是亲爸啊.......

 

在网上看到一段奶奶超市内打孙女的视频。

奶奶朝着孩子的身上踢了几脚,

还在孩子被扶起后打了孩子一个耳光。

事情的起因说起来很小,

只是4岁孙女想买棒棒糖,

而且执意要买3个,

奶奶身上没带够钱,孙女就躺在地上哭闹。

奶奶气急,就动手打了孙女。

看完这段视频,特别担忧这个挨打的小女孩,

看样子这不是她第一次挨打,

应该也不会是她最后一次挨打。

相比起肉体上所感受到的疼痛,

我想更担心的是孩子大脑和心理所受到的影响。

小孩天天挨骂会变傻吗(小孩天天挨骂会变傻吗)(图1)

1

经常被打骂的孩子

学不会正确处理情绪

很多人说,孩子不打不成器,

可是又真正有多少人每次打孩子都丝毫不带情绪的呢?

记得有一期《超级育儿师》里,

有个8岁的男孩叫辰辰。

辰辰妈妈哭诉,

这个孩子越来越不听话,不好好学习,

发起脾气来还会打她。

小孩天天挨骂会变傻吗(小孩天天挨骂会变傻吗)(图2)

育儿师来到辰辰家里,

正好目睹了母子俩因为写作业引起的一场大战。

先是辰辰执拗的在玩电脑,

之后是妈妈跟辰辰之间互相辱骂,对打。

小孩天天挨骂会变傻吗(小孩天天挨骂会变傻吗)(图3)

小孩天天挨骂会变傻吗(小孩天天挨骂会变傻吗)(图4)

打到最后,

妈妈没有了力气,

坐在床头无奈的对孩子说“去玩儿去吧。”

孩子则继续推了妈妈,

咬牙切齿的对妈妈说:

“告诉你,我在学校就不舒服。

今天别惹我,不听,不听你就试试。”

小孩天天挨骂会变傻吗(小孩天天挨骂会变傻吗)(图5)

在育儿师看到情况无法控制,

去拉辰辰,

育儿师温柔的问辰辰:

“你知道你刚才做了什么吗?”

辰辰也小声的指着妈妈说:

“她老打我,在我四五岁的时候就开始打我,

我就是等到现在再反击她。”

小孩天天挨骂会变傻吗(小孩天天挨骂会变傻吗)(图6)

这句话说出来让人难以置信,

育儿师都说,

中国人讲究因果报应,

他们家就是这种因果来得太快了。

辰辰的妈妈也亲口承认,

在打孩子的时候,她想到的是老公,

是老公长期在外工作不回家,

她一个人带孩子,心里有太多的委屈和怨恨。

她在无意中,

把这种怨恨发泄在了辰辰身上。

尽管知道打人不对,

但作为一个40岁的人,

她无法控制自己的情绪。

那么也就不难理解,

8岁的辰辰会从母亲身上接收到怨恨,

并且更加难以学会控制情绪。

很多情绪暴躁、行事莽撞、一碰就炸的人,

原生家庭都是习惯于用打骂来解决问题的。

小孩天天挨骂会变傻吗(小孩天天挨骂会变傻吗)(图7)

孩子从小没有学会怎样去跟他人沟通,

没有学会怎样去表达自己的想法,

只学会了用打骂来发泄情绪。

只要我认为我是对的,

我就可以打骂其他人。

只要我是强大的,我就可以打骂弱小的人。

只要对方不服从我,我就要用拳头来说话……

这样成长起来的孩子,步入社会后是很吃亏的。

特别容易被人误解,

同时也容易误解别人,四面树敌。

而这一切,都与父母的打骂教育有关。

小孩天天挨骂会变傻吗(小孩天天挨骂会变傻吗)(图8)

2

经常被打骂的孩子

智商会受到巨大的影响

美国《世界日报》曾发表过

一项针对1510名2-9岁的儿童进行的研究。

这项研究历时4年,研究结果表明:

在806名2~4岁的儿童组中,

未遭体罚的儿童,

智商的平均数比经常挨打者高出5分;

而另一组704名5~9岁的儿童,

差距高达28分。

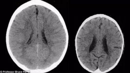
更加直接的证据是一张大脑扫描图,

扫描图上显示的是两个3岁孩子的大脑:

小孩天天挨骂会变傻吗(小孩天天挨骂会变傻吗)(图9)

从这张扫描图上可以明显的看出来,

左边的大脑要比右边大得多,

而且黑暗的区域更少。

神经学家解释,

右边的孩子大脑容量缺少的部分,

很可能导致他缺少一些能力。

比如没有那么聪明,缺少同理心,

也更容易在学业、事业、精神健康方面遇到问题。

造成这种差距的真正原因,

就是两个孩子的母亲不同的对待孩子方式。

左边孩子的妈妈

一直给予孩子温柔的爱抚和积极的回应。

右边孩子的妈妈则经常让孩子遭受忽视和打骂。

很多父母打孩子的时候,

会特意强调,打的是手心、屁股这些部位,

没打孩子的脸和脑子。

但其实童年时期是孩子大脑发展最为重要的时期,

这个时期孩子们需要通过与父母的良性互动和父母对他精心的养育来更好的成长。

一个经常遭受打骂的孩子,

这里所说的“经常”,其实一个月遭受一次打骂就够了:

他们连基本的成长都受影响,

大脑的发育和性格的形成,

更是会在潜移默化中,受到深远的伤害。

父母永远都不可能把笨孩子打聪明,

却能轻易的把聪明的孩子打笨。

小孩天天挨骂会变傻吗(小孩天天挨骂会变傻吗)(图10)

3

经常被打骂的孩子

没精力反思自己的问题

“孩子不打老实了,他就不知道他错了”

这是很多父母打孩子时候的想法。

所以哪怕心疼,也会坚持打。

但你知道被打的孩子是怎么想的吗?

他们原本很可能已经知道自己理亏,

可一旦遭遇了过度的打骂,

就会引起很多的副作用。

?他们会愤恨:

“凭什么这么对我,不公平”

?他们也可能会报复:

就像前面提到的辰辰,

挨打时候想着

“现在我打不过你,不过你等着”

?他们还可能会叛逆:

你不让我这样,我就偏要这样,

我就是要让你失望,难受。

?另外一种可能是变得畏缩:

要么就是我偷偷摸摸的,背着你们大人做。

不让你们抓到就可以了。

或者就变得很自卑,畏手畏脚,

不敢跟父母表达自己真实的想法,

稍微冒一点点风险的事情,都不敢相信自己可以做到。

小孩天天挨骂会变傻吗(小孩天天挨骂会变傻吗)(图11)

无论孩子是哪一种想法,

最后都是把时间和精力浪费在了与父母的纠缠和对抗上。

不仅没有从跟不上解决问题,

反而跟父母之前关系破裂,

自己的安全感和自信心也不断的丧失。

而实际上,不打不骂培养出来的孩子,

反而可能更懂事更好沟通。

《妈妈是超人》中有个桥段,

是节目组分别单独采访嗯哼和妈妈霍思燕。

节目组问嗯哼,

“在你的眼中,妈妈会因为你做了什么事情而不高兴?”

小孩天天挨骂会变傻吗(小孩天天挨骂会变傻吗)(图12)

嗯哼一秒都没有犹豫就回答:

“就是她从来都没有对我发过脾气”

小孩天天挨骂会变傻吗(小孩天天挨骂会变傻吗)(图13)

霍思燕在另一间房间

看到嗯哼的回答也是频频点头道:

“我真的非常爱他,我觉得自从有了他,

自己的脾气确实……我真的好想把他抱在怀里,

我好想他,我好想亲亲他,闻闻他身上的味道,跟他贴一贴……”

小孩天天挨骂会变傻吗(小孩天天挨骂会变傻吗)(图14)

节目组问嗯哼,

妈妈有哪些缺点,

哼哼还是一秒都没犹豫,很直接答:“没有”。

小孩天天挨骂会变傻吗(小孩天天挨骂会变傻吗)(图15)

在问到在嗯哼眼中,

妈妈跟他说的最多的话是什么这个问题时,

母子俩虽然在不同的时间地点独自回答,

但却异口同声,最常说的话是:

“我爱你!!!”

小孩天天挨骂会变傻吗(小孩天天挨骂会变傻吗)(图16)

不用看太多,

光是看这几个问题的回答,

就可以断言嗯哼是一个充满幸福感和安全感的小孩。

他不必因为害怕挨打挨骂而去被迫认错,

所以他会有一张“不被欺负过的脸”;

他不必因为担心父母的厌烦和离去而战战兢兢,

所以他会有更良好的语言表达能力。

当他犯了错误,

也能够相信父母是跟他站在一起的,

把更多的时间专心用在分析状况,解决问题上面。

父母教育他的时候,

他会更愿意去理解父母所说的是否有道理,

这样的成长起来的孩子,

不仅情商智商会更高,

而且更容易去学会反思自己的问题。

小孩天天挨骂会变傻吗(小孩天天挨骂会变傻吗)(图17)

4

不打不骂,找到合适的教育方法是关键

负责任的说,

想要教育好孩子,除了打骂的方式,

父母完全可以选择更有效的方法。

比如最近朋友圈疯传的公安犯罪心理学教授,

李玫瑾老师的一段视频,

里面就提到了怎样应对像文章开头那样,

非要什么东西,

不给买就不起来的孩子。

李教授的方法很简单:

第一步是不要心急

最好避开众人和亲友,让孩子单独面对教育者。

告诉他“你今天这样是不对的!下次不许如此!”

第二步是不打、不骂、不讲大道理、

而且不走开,允许孩子哭。

让孩子明白,

他做的不对,怎样哭闹都是没有效果的。

第三步是给孩子一些安抚

比如帮孩子擦擦脸,摸摸手。

所有的孩子都会从中感知你的反应。

只要你坚决,他就明白了。

而且有一次这样的经历,

孩子就再不会用撒泼解决问题。

远比打骂要有效。

整段视频比较长,

没看过的朋友可以看看,对教育孩子很有帮助:

不打不骂教育孩子的方法可以有很多,

只是父母要多一些的耐心,

多一些的坚定和多一些的思考。

孩子的成长,

最需要的就是来自父母的关爱和肯定。

无论打骂看起来是多么的“快速起效”,

都永远是下下策。

爱孩子,

就别让孩子看到你满口说爱,

却面目狰狞的样子。

itnewit.com:ITNEWIT教育经(每天一读) ? 为什么那些被打骂的孩子,智商正在发生惊人的变化?

经常受别人骂会不会变傻变笨的

那要看被骂的人把别人的骂当什么看待若是当成激励自己的话或者刺激到自己反而发愤图强那就不会变傻没准还比以前更成功。若是自己越来越自卑承认了别人口中的自己就是那样不堪那就只能在自卑和失败中坐井观天了变傻到不至于但是容易走极端…

孩子天天被打骂会不会变傻了?

你最好是可以跟孩子做朋友,而不是打骂他,不然的话小孩是会有心理阴影的这个当然会会的,孩子要进行正面引导。给孩子的最初评价会让孩子朝那方面努力。变傻不至于,容易心理扭曲傻不一定,但非常有可能会患上精神疾病,我和爸爸和我相亲的一个对象都是这样的,他们在童年的时候被打多了,导致世界观严重有问题,他们都有暴力倾向、认为拳头可以解决一切、脾气不好、想要所有人都怕他、有被害妄想症觉得大家会害他、不相信别人、说话不好听常常得罪人、非常的做事认真一丝不苟到了叫人有些难以忍受的程度、很要强。

我堂哥小时候也经常被打,现在也有暴力倾向,以前打老婆,现在不知道了。

所以不要打孩子,有什么事和孩子讨论,教会孩子去处理和改正,做正确引导。会呀都会有阴影了

搜索标签:

本站关键词:河南戒网瘾学校,河南叛逆孩子学校,河南特训学校,河南问题青少年学校,河南问题少年学校,河南管教学校,河南青少年管教学校,河南全封闭式管理学校,河南军事化管理学校如,何管教叛逆的孩子,青少年叛逆期的教育
Copyright © 2012-2024 河南正苗启德特殊教育学校 版权所有 SITEMAP.XML   网站地图 TAG标签 TAG标签

网站lCP备案号: 鄂ICP备2021014215号-10